
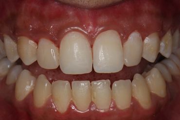
Short square teeth can look awkward and end up marring a otherwise beautiful smile.

Ver often these are caused by excess gum tissue covering the teeth

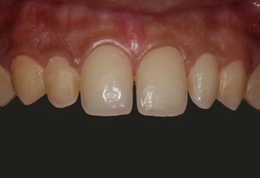
Spaces between teeth can look odd and create a sense of unevenness.

Most of these cases can be treated with a simple painless removal of excess gum tissue using a laser or cautery as was done in this case.The teeth look more natural and the smile much more radiant!

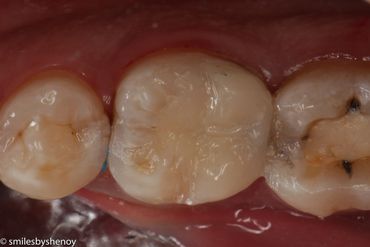
The spaces have been closed using simple tooth coloured adhesive fillings .No drilling is required most often in such cases.We just add the filling material and reshape the teeth.

Impeccable technique and advanced materials makes it is impossible to detect the fillings even with such a close up view.



.jpg/:/rs=w:370,cg:true,m)



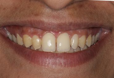
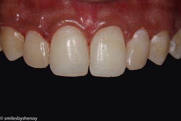
A young patient with discoloured teeth which were too short and an overall gummy smile, wanted her smile to be enhanced.

It was necessary in this case to come up with a comprehensive plan to create harmony and enhance the smile

A close look at the teeth revealed defects along with discolouration.Such cases can easily be corrected using Ceramic Veneers.

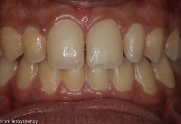
The case was treated with minimal tooth preparation , about 0.5 mm, and ceramic veneers along with some correction of the excess gum tissue.

As one can see the overall look is far more appealing and the discolourations are totally covered.

A beautiful Smile! Thats what the end result is all about.A happy patient is the only result we settle for.

A smile is worth a thousand words and this one leaves much to be desired

This is invariably the result of multiple years of uncoordinated treatment, wear and tear .

When treating such cases its not just the looks but function that matters the most.

Radical improvement in smile achieved through holistic treatment planning.The smile also contributes to an overall improvement in quality of life.

Natural looking teeth created using minimally invasive techniques and the finest materials



We use cookies to analyze website traffic and optimize your website experience. By accepting our use of cookies, your data will be aggregated with all other user data.